Hakora wasu ma’adanai ne ko gaɓɓai masu tsari da ƙarfi, waɗanda ake amfani da su don tauna abinci. Ba a yi su da ƙashi kamar sauran ƙwarangwal ba, amma suna da nasu tsari na musamman da zai ba su damar ragargaza abinci.
Mutane suna da hakora nau’i biyu: haƙoran jariranntaka waɗanda suke kwance kuma suna faɗuwa kafin girma, da kuma manyan haƙoran da ke dawwama a tsawon rayuwarsu.
Siffa da adadin haƙoran halittu sun bambanta gwargwadon abin da suke ci. A nan za mu bayyana ayyukan nau’ikan hakora daban-daban, da kuma tsari da nau’ikan sinadarai daban-daban waɗanda ke haɗuwa su samar da haƙoran ɗan’adam.

Aikin haƙora
• Haƙora na taimaka wa dabbobi da mutane wajen karɓar abinci da tauna shi don ingantacciyar narkewa. Mutane ko dabbobin da suka rasa haƙoransu gabaɗaya ba sa iya cin isassun abubuwan gina jiki.
• Ayyuka na musamman waɗanda haƙora kan yi ya dogara da tushe ko asalin abincin dabba ko mutane. Mutum ko dabba na iya buƙatar huda fata su yaga nama, su niƙa ‘ya’yan itatuwa masu ɗimbin yawa.
• Herbivores suna da dogayen incisors masu kaifi a gaban bakunansu don taimakawa wajen yanke tsiro, da kuma dogoye masu faffaɗan filaye a bayan baki wanda ke niƙa da karya ƙwayoyin halittar shuka. don sauƙin narkewa ta ciki.
Mutane suna cin nama iri-iri. A sakamakon haka, muna da nau’ikan hakora da yawa waɗanda ke aiki da kyau don rushe nau’ikan abinci daban-daban:
– Haƙoran gaba, ko incisors, waɗanda ke yanka abinci zuwa guntu-guntu, suna da girma ko ƙarfin cizo.
– Haƙoran “canine”, waɗanda za a iya amfani da su don gutsurar guntun nama da sauran abinci.
– Molars da pre-molars, waɗanda ke murkushe kayan lambu da sauran abinci zuwa narkakku.
Tsarin hakori na ɗan’adam ya haɗa da ƙanƙanuwar ƙwayar halitta (tissue) kamar haka:
• Enamel ya ƙunshi da farko matrix na hydroxyapatite – wani ma’adinai da aka yi da crystalline calcium phosphate wanda cell ɗin jiki suka halitta a lokacin girman hakori. Haka nan ana iya samun Hydroxyapatite a cikin wasu duwatsu, kuma a cikin matrix na ma’adinai/protein wanda ke haifar da harsashi na waje na ƙasusuwanmu.
• Dentin – Abu ne mai laushi, mafi rauni wanda ke aiki a matsayin layin tsaro ko kariya ta ƙarshe don ɓangaren haƙori a yayin da enamel ya karye ko narkar da shi.
• Cementum – nama mai kama da kashi wanda ya haɗa da hydroxyapatite da sunadarai masu haɗawa. Wannan nama yana ɗaure haƙori zuwa gaɓoɓin periodontal, wanda ke riƙe haƙori da ƙarfi a cikin kashin muƙamuƙi.
• Pulp, wanda ya ƙunshi jijiyoyin jini da jijiyoyi da ake amfani da su don kiyaye lafiyar hakori da faɗakar da kwayoyin halitta game da raunin hakori masu haɗari da cututtuka.
Sau da yawa likitocin haƙori suna kasa haƙori zuwa manyan yankuna masu zuwa:
– Tushen: wanda ya ƙunshi dentin tare da jijiya wanda ke ƙulla hakori zuwa muƙamuƙi. Tushen yana da rauni musamman ga rauni da kamuwa da cuta saboda ba shi da enamel mai kariya.
Cututtukan tushen hakori na iya yaɗuwa zuwa cikin jini ko kuma kewaye da muƙamuƙi da ma ƙwayar halittar tissue, wanda shi ne dalilin da ya sa cututtukan tushen hakori ke buƙatar kulawar gaggawa da cikakkiyar kulawar likita.
– Wuyan: wanda shi ne wurin da mahaɗin tushen ya haɗu da enamel na kambi na hakori. Tushen yana da ɗan ƙaramin enamel da kauri mai kauri na dentin yana kare tushen.
– Kambi: wanda ya ƙunshi kauri na enamel wanda ake amfani da shi don yanke abinci da niƙa. Wani kauri na dentin yana kwance a ƙarƙashin enamel, tsakaninsa da ɓangaren ginshiƙin haƙori.
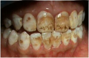
Illar rashin kula da haƙora
- Ciwon zuciya: ƙwayoyin cutar da ke maƙalewa a cikin ramin haƙori na iya janyo ciwon zuciya, idan ba a ɗauki matakan da suka dace ba, in ji likitoci. Sun ce yana ɗaya daga cikin matsalolin da rashin tsaftace baki ke janyowa. Kwayoyin cutar dai suna bi ta cikin jini ne, su je har cikin zuciya, su yi wa mutum lahani.
- Raguwar ƙarfin haƙora: rashin tsaftar baki kuma na janyo karfin hakori ya yi ta raguwa, har ta kai ana cire su.
- Warin baki: wata matsalar kuma da rashin tsaftace haƙora ke janyowa ita ce ta warin baki, wanda shi ma ramin haƙori na taimakawa wajen kawo shi. Likitoci sun bayyana karin wasu abubuwan da ke janyo warin bakin da suka haɗa da yin amfani da tsinken sakace. Saboda yana ƙara girman ramin da hakori ke ciki a jikin dasashi, abin da ke sawa abinci ko wasu kwayoyin cuta su makale a ciki.
- Nau’in abinci: cin abinci ko abin sha masu karfin kamshi ko masu yaji su ma su kan janyo warin baki. Haka zalika cin kayan zaƙi kan ɓata haƙori kuma su janyo warin baki.
Hanyoyin kula da haƙora
1. Dabi’ar cin abinci: dole mutum ya canja dabi’arsa ta cin abinci, ma’ana mutum ya kasance yana cin abubuwa masu gina jiki, kuma yana da kyau ya guje wa cin abincin da yake da tarin sukari a cikinsa (Sugar). Ta’ammali da abubuwan da suka da haɗa madara, nono da kuma shan wadaccen ruwa mai tsafta da sauransu yana inganta lafiyar hakori.
2. Taunar chewing gum: yana taimakawa matuka gaya wajen hana zaman wani abu a cikin sakon hakori, a sanadaiyyar hakan ka iya jawo tsutsar hakori dama sauran dangogin matsalolin da suka shafi hakorin baki daya.
3. Amfani tare da sauya magogin baki: yana da matuƙar muhimmanci, wanke baki akai-akai domin yin hakan zai taimaka wajen wanke tare da fitar da duk wani nau’in abin da ya maƙale a haƙorin. Haka zalika yana da kyau a ce mutum yana sauya magogin bakinsa duk tsawon wani lokaci (aƙalla duk bayan watanni uku).

Kungiyar kula da lafiyar hakora ta duniya wato International Dental Health Association, ta bayyana cewa kaso 42% ne na mutane ke amfani da magogin baki domin kula da lafiyar hakori. Yana da matuƙar muhimmanci a wanke baki da magogi har na tsawon mintuna biyu aƙalla sau biyu a rana. Kuskure baki da ruwa lokaci zuwa lokaci, musamman bayan kammala cin abinci ko wani abu mai ɗauke da abin da zai iya zama a hakori.
4. Amfani da maganin wanke baki wanda da dama daga cikinsu suna ɗauke da sinadarin kariya (Antibacterial) wanda yana taimakawa wajen wanke duk wani abu tare da ƙara wa hakora kwari.
5. Ganin likitan hakori yana da matuƙar amfani, saboda yin hakan zai taimaka wajen duba irin halin da hakoran ke ciki, sannan in har akwai wani abu da yake damun hakoran, likitan zai iya ba da shawara ko magani domin kau da cutar tun kafin ta zama babba. Likitan zai iya yin wankin Hakori wanda hakan zai bawa mai su damar jin dadi sosai, kuma yana da kyau ake yin wanki hakori akalla sau daya a shekara.

6. Cin abinci mai dauke da ganyayyaki kamar su kabeji, salak, lansir, zogale da sauran ganye yana da amfani. Cin kayan itatuwa kamar lemo, ayaba, kankana, Inibi duk suna da fa’ida sosai wajen lafiyar hakori. Har wayau, cin abin da ya shafi nau’in abin da ke cikin ruwa kamar su kifi, da sauransu wanda duk suna ɗauke da nau’in Vitamin D za su taimaka gaya.
7. Amfani da man kwakwa: mutum zai iya amfani man kwakwa wajen wanke baki. Cokali ɗaya na man kwakwa mutum zai ɗiba ya wanke bakinsa har na tsawon mintuna 20, sai yawun bakin mutum da man kwakwar sun canja launi zuwa launin madara, sannan a zubar amma fa kar a haɗiye.
An wallafa wannan makalar 23 March, 2024, sannan an sabunta ta 1 June, 2024.
Sharuɗɗan Editoci
Duk maƙalun da ku ka karanta a wannan taska ta Bakandamiya, marubuta da editocinmu ne suka rubuta tare da sa idon kwamitin ba da shawara na ƙwararru. Kuma kowace maƙala da aka buga ta bi muhimman matakai na tantancewa don ganin cewa bayanan dake cikinta sun inganta.
Idan kuma an ga wani kuskure a cikin kowace maƙalarmu, a sanar da mu. Za mu yi bincike sannan mu gyara gwargwadon fahimtarmu.








